重拾自信笑容,盡情享受美食:全口重建 All-on-4/6 介紹
您是否因為缺牙、牙齒鬆動或長期配戴活動假牙而困擾?是否渴望重拾自信笑容,盡情享受美食的樂趣?我們的全口重建 All-on-4/6 專案,為您提供一次解決多重牙齒問題的理想方案,讓您重獲健康、美麗、自信的笑容!
優勢特色
- 一日重建,快速恢復:透過精準的植牙技術,僅需植入 4 或 6 顆植體,即可支撐整排假牙,大幅縮短治療時間,讓您快速恢復正常生活。當日即可配戴臨時假牙,立即改善外觀與咀嚼功能。
- 微創手術,降低不適:採用先進的微創植牙技術,減少手術創傷,降低術後腫脹與疼痛,提升治療舒適度。
- 客製化設計,美觀自然:專業醫師團隊根據您的臉型、牙齒狀況與個人需求,量身打造專屬假牙,確保美觀自然,讓您笑容更加自信。
- 穩固耐用,重拾咀嚼力:All-on-4/6 植體穩固支撐假牙,提供如同真牙般的咀嚼力,讓您盡情享受各種美食。
- 適用範圍廣泛:無論是全口無牙、嚴重牙周病或長期配戴活動假牙的患者,皆可透過 All-on-4/6 全口重建,重獲健康牙齒。

黃上銘 院長
經歷
- 台灣國際植牙學會專科醫師
- 中山醫學大學口腔研究所碩士
- 澳洲格里菲斯大學牙醫學士
- 澳洲伊莉莎白二世皇后醫院牙科醫師
- 澳洲昆士蘭牙醫師檢定合格
- 澳洲執業醫師
專長項目
- 人工植牙
- 美容牙科(全瓷、美貼片)
- 3D齒雕
- 冷光美白
- 假牙贋復
- 牙周病
- 根管治療
- 一般牙科
- All on 4
- 全口重建
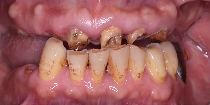
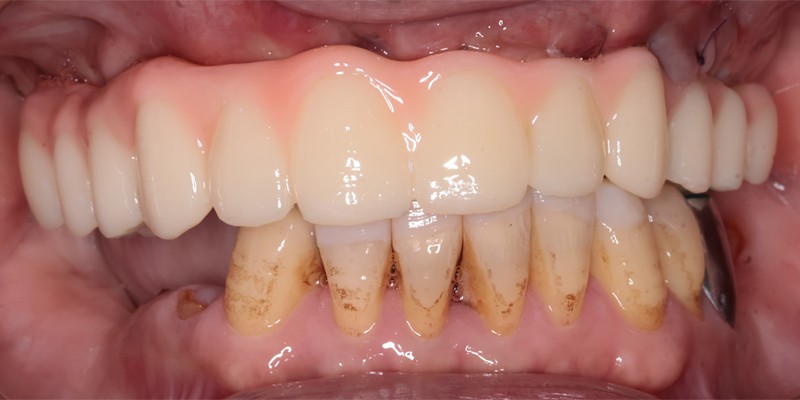
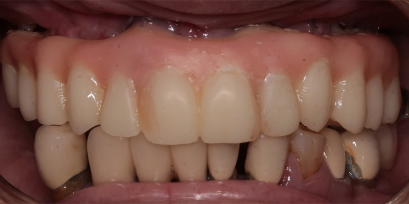
王先生案例
治療前


治療後


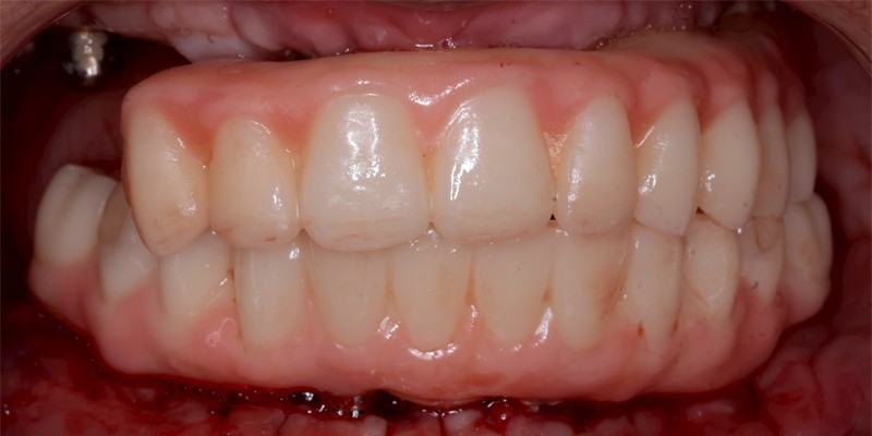
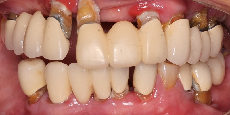
陳小姐案例
治療前


治療後


張先生案例
治療前


治療後


盧先生案例
治療前


治療後


羅先生案例
治療前


治療後


黃小姐案例
治療前


治療後


邱小姐案例
治療前


治療後




